您的位置: 网站首页 >> 产品中心 >> 细胞 >> 原代细胞 > HISMC;人肠平滑肌细胞(原代细胞)
产品名称:

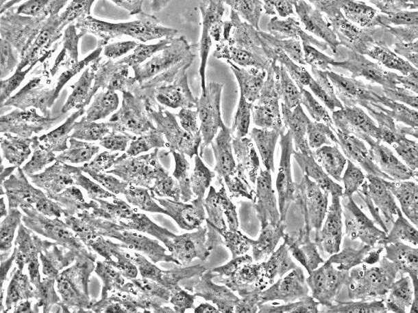
HISMC;人肠平滑肌细胞(原代细胞)

产品型号: 产品时间: 2023-03-27
平滑肌收缩是胃肠运动的基本事件。尽管尚未定义激发 - 收缩偶联的许多生化机制,但已知细胞溶质Ca 2+是偶联现象中的必要组分。人体肠道的炎症导致平滑肌特异性肌动蛋白水平增加,这反过来促进平滑肌层的增厚。增加的平滑肌肌动蛋白可能影响力的产生,并进一步证明发炎肠道中平滑肌细胞的可塑性[1]。研究还表明,HISMC;人肠平滑肌细胞(原代细胞)通过释放IL-6对IL-1β和TNF-α刺激有反应,

产品概述

产品名称:HISMC;人肠平滑肌细胞(原代细胞)​

​ScienCell:2910

5×10^5个细胞/瓶

来自ScienCell研究实验室的HISMC与人体肠道分离。HISMC在*代冷冻保存并冷冻。每个小瓶含有>5×10^5个细胞,1ml体积。HISMC的特征在于免疫荧光,具有对α-平滑肌肌动蛋白和结蛋白特异的抗体。HISMC对HIV-1,HBV,HCV,支原体,细菌,酵母和真菌均为阴性。在ScienCell研究实验室提供的条件下,HISMC保证进一步扩大15次人口倍增。​​

​该产品仅供研究使用。它未被批准用于人类,动物或体外诊断程序。​

经检测无支原体、细菌、酵母和真菌污染

​​​​​​​​​​​​​​​​​​​​​​​​​​​​​​​​​​​​​​

平滑肌收缩是胃肠运动的基本事件。尽管尚未定义激发 - 收缩偶联的许多生化机制,但已知细胞溶质Ca 2+是偶联现象中的必要组分。人体肠道的炎症导致平滑肌特异性肌动蛋白水平增加,这反过来促进平滑肌层的增厚。增加的平滑肌肌动蛋白可能影响力的产生,并进一步证明发炎肠道中平滑肌细胞的可塑性[1]。研究还表明,人体肠道平滑肌细胞(HISMC)通过释放IL-6对IL-1β和TNF-α刺激有反应,这可能显着促进整体全身炎症反应[2]。​

人小细胞肺癌
人恶性多发性畸胎瘤细胞
人卵巢畸胎瘤细胞
人胰腺癌细胞
人前列腺癌细胞

晅科生物为研究界提供各种高质量的正常人和动物细胞,细胞培养基和试剂,基因分析工具,细胞衍生的分子生物学产品,基于细胞的检测试剂盒和干细胞产品。

​客户在细胞培养过程中,有任何技术问题可以联系售后服务

​客户应具有一定细胞培养知识与经验,并具备基本实验设备,如细胞培养实验室、无菌操作台、CO2培养箱,倒置显微镜等;还应准备好相应的无菌培养基、血清、双抗、细胞培养瓶、培养板等。

参考:

[1]。Blennerhassett,MG,Bovell,FM,Lourenssen,S.,McHugh,KM(1999)炎症诱导的大鼠肠平滑肌细胞肥大的特征。Dig Dis Sci。44(7):1265至1272年。
[2]。Ng,EK,Panesar,N.,Longo,WE,Shapiro,MJ,Kaminski,DL,Tolman,KC,Mazuski,JE(2003)人肠平滑肌细胞是IL-6的有效生产者。调解员Inflamm。12(1):3-8

 

原代细胞和细胞系有什么区别?

 A.原代细胞直接来自组织,一旦在培养中,原代细胞具有有限的寿命。原代细胞是理想的,因为它们保留了体内所见的许多标记物  。细胞系是连续生长和复制并经历遗传转化的细胞群,导致无限的生长潜力。 为了医学和/或研究目的,已在体外维持细胞系  。可以通过非常多的传代培养来培养细胞系,并且可以在非常高的传代数下发生进一步的基因型/表型变化。通常,细胞系缺乏体内观察到的许多标记物  ,  并且还显示出与原代细胞非常不同的标记物谱。

晅科生物致力于为国内科研用户提供*质的产品,完善的服务。帮助您实验顺利。视天气状况和运输距离远近,公司与客户协商

公司优势:
1)质量:我司提供的的细胞为世界ATCC和Sciencell
2)价格:价格实惠,量大从优,产品价格随时会变动,实时报价还请来电获取。
4)服务:提供完整的售前、售后和售中服务。售后到底

如需订购HISMC;人肠平滑肌细胞(原代细胞)​​​​​​​​​,请联系我们。

此外公司还提供:

人乳腺癌细胞
人骨肉瘤细胞
人淋巴细胞白血病细胞
人非小细胞肺腺癌
人小细胞肺癌

留言框

  • 产品:

  • 您的单位:

  • 您的姓名:

  • 联系电话:

  • 常用邮箱:

  • 省份:

  • 详细地址:

  • 补充说明:

  • 验证码:

    请输入计算结果(填写阿拉伯数字),如:三加四=7
分享到:
版权所有©2019 上海晅科生物科技有限公司 备案号:京ICP证000000号
  • 扫一扫,关注我们