英文名称:Anti-Adiponectin Receptor 1
中文名称:脂联素受体1抗体(ACDCR1)
抗体来源:兔
克隆类型:多克隆
交叉反应:人、大鼠、小鼠、狗、兔子
产品应用:WB=1:500-2000 ELISA=1:500-1000 IHC-P=1:400-800 IHC-F=1:400-800 IF=1:100-500(石蜡切片需做抗原修复)
尚未在其他应用程序中测试。
用户终应确定合适稀释浓度。
分子量:42kDa
细胞定位:细胞膜
状态:冻干或液体
浓度:1mg/ml
来源于:KLH conjugated synthetic peptide derived from human Adiponectin Receptor 1:241-270 <Cytoplasmic>
亚型:IgG
纯化方法:affinity purified by Protein A
储存液:0.01M TBS(pH7.4) with 1% BSA, 0.03% Proclin300 and 50% Glycerol.
别 名:ACDCR1; ADIPO R1; Adiponectin receptor protein 1; ADIPOR 1; ADIPOR1; CGI-45; CGI-45 protein;FLJ25385; PAQR1; Progestin and adipoQ receptor family member I; TESBP1A; ADR1_HUMAN.
保存条件:在-20°C下保存一年。避免重复冻融循环。冻干抗体在室温下至少稳定一个月,并在-20°C下保持一年以上。当在无菌pH7.4 0.01M PBS或抗体稀释剂中重组时,抗体在2-4°C下至少稳定两周。
产品介绍
ACRP30是一种由脂肪细胞分泌的激素,起到抗糖尿病和抗动脉粥样硬化脂肪因子的作用。在肥胖、胰岛素抵抗和2型糖尿病的情况下,血液中的脂联素水平降低。给予脂联素可降低小鼠的血糖,改善胰岛素抵抗。相反,脂联素缺乏小鼠表现出胰岛素抵抗和糖尿病。脂联素的胰岛素增敏作用似乎是通过激活AMP激酶和PPAR-来调节脂肪酸氧化的增加。克隆编码脂联素受体1和2(adipor1和adipor2)的互补DNA表明adipor1在骨骼肌中大量表达,而adipor2主要在肝脏中表达。
功能:
球蛋白和全长脂联素(apm1)受体,是脂肪细胞分泌的一种重要激素,起到抗糖尿病的作用。可能参与调节脂肪代谢的代谢途径,如脂肪酸氧化。介导脂联素增加AMPK、PPARA配体活性、脂肪酸氧化和葡萄糖摄取。对球形脂联素有高亲和力受体,对全长脂联素有低亲和力受体。
Subunit:
可能形成同型和异多聚体。
亚细胞位置:
膜;多通道膜蛋白。注=局限于细胞膜和细胞内细胞器。
组织特异性:
广泛表达。在骨骼肌中高度表达。在脑、心、脾、肾、肝、胎盘、肺和外周血白细胞中的中等水平表达。在结肠、胸腺和小肠中弱表达。
相似性:
属于肥胖家庭。
重要注意事项:
本产品仅用于研究用途,不用于人类、治疗或诊断应用。
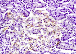
组织/细胞:大鼠胰腺组织;4%多聚甲醛固定石蜡包埋;
抗原提取:柠檬酸缓冲液(0.01M,pH 6),15min煮沸,用3%过氧化氢阻断内源性过氧化物酶30min;阻断缓冲液(正常山羊血清),在37℃下20 min;
孵育:抗脂联素受体1多克隆抗体,未结合1:300,在4∑C下过夜,然后与二级抗体结合,DAB(C-0010)染色。
公司优势:
1)质量:我司提供的的试剂为世界
2)价格:价格实惠,量大从优。
4)服务:提供完整的售前、售后和售中服务。售后到底
如需订购脂联素受体1抗体(ACDCR1),请联系我们。
anti-FSH-R(Follicle-stimulating hormone receptor precursor) 促卵泡刺激素受体抗体 |
Anti-G Protein(Guanine nucleotide-binding regulatory protein) G蛋白/鸟苷酸结合蛋白抗体 |
Anti-GABA-ARα1 γ1氨基丁酸受体α1抗体 |
anti-GABAB1(GABAb Receptor 1) 抗g-氨基丁酸B1受体抗体 |
anti-GABAB2(GABAb Receptor 2) 抗g-氨基丁酸B2受体抗体 |
Anti-GAD-65 (glutamate decarboxylase) 谷氨酸脱羧酶-65抗体 |
Anti-GAD-67 (glutamate decarboxylase 67) 谷氨酸脱羧酶-67抗体 |
Anti-GAD-65 (glutamate decarboxylase) 谷氨酸脱羧酶-65抗体(C端多肽) |
Anti-Galanin 神经节肽抗体“甘丙肽” |