英文名称:Anti-AMPK alpha 2
中文名称:腺苷单磷酸活化蛋白激酶α2抗体(AMPK α2)
抗体来源:兔
克隆类型:多克隆
交叉反应:人、大鼠、小鼠、狗、猪、牛、兔、羊
产品应用:WB=1:500-2000 ELISA=1:500-1000 IHC-P=1:400-800 IHC-F=1:400-800 Flow-Cyt=3ug/test IF=1:100-500(石蜡切片需做抗原修复)
尚未在其他应用程序中测试。
用户终应确定合适稀释浓度。
分子量:62kDa
细胞定位:细胞核 细胞浆
状态:冻干或液体
浓度:1mg/ml
来源于:KLH conjugated synthetic peptide derived from human AMPK alpha 2:351-450/552
亚型:IgG
纯化方法:affinity purified by Protein A
储存液:0.01M TBS(pH7.4) with 1% BSA, 0.03% Proclin300 and 50% Glycerol.
别 名:5'-AMP-activated protein kinase catalytic subunit alpha-2; AAPK2_HUMAN; ACACA kinase; Acetyl-CoA carboxylase kinase; AMPK alpha 2 chain; AMPK subunit alpha-2; AMPK2; AMPK 2; AMPKa2; AMPK a2; AMPK-a2 AMPKalpha2; HMGCR kinase; Hydroxymethylglutaryl-CoA reductase kinase; PRKAA; PRKAA2; Protein kinase AMP activated alpha 2 catalytic subunit; Protein kinase AMP activated catalytic subunit alpha 2.
保存条件:在-20°C下保存一年。避免重复冻融循环。冻干抗体在室温下至少稳定一个月,并在-20°C下保持一年以上。当在无菌pH7.4 0.01M PBS或抗体稀释剂中重组时,抗体在2-4°C下至少稳定两周。
产品介绍
该基因编码的蛋白质是AMP活化蛋白激酶(AMPK)的催化亚单位。AMPK是一种由α催化亚单位和非催化β和γ亚单位组成的异源三聚体。AMPK是一种重要的能量传感酶,可以监测细胞的能量状态。针对细胞代谢应激,AMPK被激活,从而磷酸化和灭活乙酰辅酶A羧化酶(ACC)和β-羟基β-甲基戊二酰辅酶A还原酶(HMGCR),这是参与调节脂肪酸和胆固醇从头合成的关键酶。对小鼠的研究表明,这种催化亚单位可能控制全身胰岛素敏感性,并在缺血期间维持心肌能量稳态是必要的。[参考文献编号:2008年7月]
功能:
AMP活化蛋白激酶(AMPK)的催化亚单位,是一种在调节细胞能量代谢中起关键作用的能量传感器蛋白激酶。为了响应细胞内ATP水平的降低,AMPK激活能量产生途径并抑制能量消耗过程:抑制蛋白质、碳水化合物和脂质的生物合成,以及细胞的生长和增殖。AMPK通过代谢酶的直接磷酸化作用,并通过转录调节器的磷酸化作用发挥长期作用。也可以通过重塑肌动蛋白细胞骨架来调节细胞极性,可能通过间接激活肌球蛋白。通过磷酸化和灭活脂质代谢酶(如acaca、acacb、gys1、hmgcr和lipe)调节脂质合成;通过磷酸化乙酰辅酶A羧化酶(acaca和acacb)和激素敏感脂肪酶(lipe)分别调节脂肪酸和胆固醇合成。通过磷酸化IRS1、PFKFB2和PFKFB3调节胰岛素信号传导和糖酵解。AMPK通过增加葡萄糖转运体SLC2A4/GLUT4向质膜的易位来刺激肌肉中的葡萄糖摄取,可能通过调节TBC1D4/AS160的磷酸化来实现。通过磷酸化参与能量代谢的转录调节器,如crtc2/torc2、foxo3、组蛋白h2b、hdac5、mef2c、mlxipl/chrebp、ep300、hnf4a、p53/tp53、srebf1、srebf2和ppargc1a,调节转录和染色质结构。通过磷酸化crtc2/torc2,作为肝脏葡萄糖稳态的关键调节器,导致crtc2/细胞质中的torc2隔离。在应激反应中,组蛋白h2b(h2bs36ph)的磷酸化“ser-36”,从而促进转录。通过磷酸化tsc2、rptor和atg1作为细胞生长和增殖的关键调节器:针对营养限制,通过磷酸化mtorc1复合物的rptor成分和磷酸化和激活tsc2负性调节mtorc1复合物。针对营养限制,通过磷酸化和激活ulk1促进自噬。AMPK还通过调节cry1的磷酸化来调节昼夜节律,导致其不稳定。可能通过磷酸化ctnb1来调节Wnt信号通路,从而使其稳定。同时磷酸化cftr、eef2k、klc1、nos3和slc12a1。
Subunit:
AMPK是α催化亚单位(prkaa1或prkaa2)、β(prkab1或prkab2)和γ非催化亚单位(prkag1、prkag2或prkag3)的异源三聚体。与FNIP1和FNIP2相互作用。
亚细胞位置:
细胞质。细胞核。注=针对压力,p53/tp53招募到特定的启动子。
翻译后修改:
泛素化的
STK11/LKB1在Thr-172处与ste20相关转接器α(strada)伪激酶和cab39复合物磷酸化。也在THR-172被camkk2磷酸化;由细胞内钙离子升高触发,没有检测到AMP/ATP比率的变化。camkk1也能磷酸化thr-172,但在低得多的左室肥大。蛋白磷酸酶2a和2c(pp2a和pp2c)脱磷。被ulk1磷酸化;导致负性调节ampk活性,提示ulk1和ampk之间存在调节反馈环。
相似性:
属于蛋白激酶超家族。camk-ser/thr蛋白激酶家族。SNF1亚家族
包含1个蛋白激酶域。
重要注意事项:
本产品仅用于研究用途,不用于人类、治疗或诊断应用。
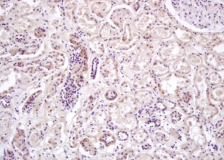
组织/细胞:人体肾组织;4%多聚甲醛固定石蜡包埋;
抗原提取:柠檬酸缓冲液(0.01M,pH 6),15min煮沸,用3%过氧化氢阻断内源性过氧化物酶30min;37℃下阻断缓冲液(正常山羊血清,C-00 05)20 min;
孵育:抗-prkaa2/ampkα2多克隆抗体,未结合1:200,在4°C下过夜,然后接合到二级抗体和DAB染色。
公司优势:
1)质量:我司提供的的试剂为世界。
2)价格:价格实惠,量大从优。
4)服务:提供完整的售前、售后和售中服务。售后到底。
如需订购腺苷单磷酸活化蛋白激酶α2抗体(AMPK α2),请联系我们。
Anti-Insulin Receptor-α(ISR-α) 胰岛素受体-α抗体 |
Anti-Insulin(1-51 protein) 胰岛素1-51蛋白抗体 |
Anti-Integrin α3β1 整合素α3β1抗体 |
Anti-Integrin α4β7/LPAM-1 (Lymphocyte Peyer’s patch Adhesion Molecule 1/Integrin alpha4,beta7) 整合素α4β7抗体 |
anti-Integrin avb3 整合素avb3抗体 |
Anti-Integrin αE2/CD103 整合素αE2抗体 |
Anti-IQGAP1 支架蛋白抗体 |
Anti-IRS P53 (Insulin receptor suYTtrate P53) 胰岛素受体底物p53蛋白抗体 |