英文名称:Anti-alpha Adaptin
中文名称:衔接蛋白α-Adaptin抗体
抗体来源:兔子
克隆类型:多克隆
交叉反应:人,小鼠,大鼠、牛、马、兔
产品应用:WB=1:500-2000 ELISA=1:500-1000 IHC-P=1:400-800 IHC-F=1:400-800 IF=1:100-500(石蜡切片需做抗原修复)
尚未在其他应用程序中测试。
用户终应确定合适稀释浓度。
分子量:103kDa
细胞定位:细胞浆 细胞膜
状态:冻干或液体
浓度:1mg/ml
来源于:KLH conjugated synthetic peptide derived from human alpha Adaptin:21-150/939
亚型:IgG
纯化方法:affinity purified by Protein A
储存液:0.01M TBS(pH7.4) with 1% BSA, 0.03% Proclin300 and 50% Glycerol.
别 名:100 kDa coated vesicle protein A; 100 kDa coated vesicle protein C; adaptin alpha A; Adaptin alpha B; Adaptor protein complex AP 2 alpha 1 subunit; Adaptor protein complex AP 2 alpha 2 subunit; Adaptor related protein complex 2 alpha 1 subunit; Adaptor related protein complex 2 alpha 2 subunit; ADTAA; ADTAB; Alpha adaptin A; Alpha adaptin C; AP 2 complex subunit alpha 1; AP 2 complex subunit alpha 2; AP2A2; CLAPA1; CLAPA2; Clathrin assembly protein complex 2 alpha A large chain; Clathrin assembly protein complex 2 alpha C large chain; Clathrin associated/assembly/adaptor protein large alpha 1; Clathrin associated/assembly/adaptor protein large alpha 2; HIP9; Huntingtin interacting protein HYPJ; Huntingtin interacting protein J; HYPJ; KIAA0899; Plasma membrane adaptor HA2/AP2 adaptin alpha A subunit; Plasma membrane adaptor HA2/AP2 adaptin alpha C subunit; AP2A2_HUMAN; AP-2 complex subunit alpha-2; Adapter-related protein complex 2 alpha-2 subunit; Adaptor protein complex AP-2 subunit alpha-2; Alpha-adaptin C; Alpha2-adaptin; Clathrin assembly protein complex 2 alpha-C large chain; Huntingtin yeast partner J; Huntingtin-interacting protein 9; HIP-9; Huntingtin-interacting protein J; Plasma membrane adaptor HA2/AP2 adaptin alpha C subunit.
保存条件:在-20°C下保存一年。避免重复冻融循环。冻干抗体在室温下至少稳定一个月,并在-20°C下保持一年以上。当在无菌pH7.4 0.01M PBS或抗体稀释剂中重组时,抗体在2-4°C下至少稳定两周。
产品介绍
网格蛋白介导的内吞作用是许多营养素和激素受体被内化为循环或下调的途径。在网格蛋白涂层膜的形成过程中,网格蛋白与称为组装多肽(APS)的异源四聚体分子或适配器共同组装,在网格蛋白晶格和膜之间形成一层蛋白涂层。有两个特征适配器AP1和AP2。AP1与高尔基体网络上的网格蛋白包膜小泡有关,AP2与质膜上的网格蛋白包膜小泡有关,并已被证明与SHC和EGF受体特异性相互作用。AP2由四个亚单位、两个分离的100kDa基因产物和一个50和17kDa亚单位组成,具有相似的结构域(α和β-适应性蛋白)。有两个alpha-adaptin基因,alpha a和alpha c,它们具有组织特异的表达模式。
功能:
衔接蛋白复合物2(AP-2)的成分。衔接蛋白复合物在不同的膜交通通路中通过运输囊泡转运蛋白质。衔接蛋白复合物是囊泡外套成分,似乎参与货物选择和囊泡形成。AP-2参与了网格蛋白依赖性内吞作用,其中载运蛋白被网格蛋白(网格蛋白包膜小泡,ccvs)包围的小泡合并,而网格蛋白包膜小泡注定与早期内吞体融合。网格蛋白作为一种机械支架,但本身不能直接结合到膜组件上。网格蛋白相关衔接蛋白(AP)复合物可直接结合网格蛋白和膜的脂质和蛋白质成分,被认为是促进CCV形成的主要网格蛋白衔接剂。AP-2还作为一种载体受体,选择性地对参与受体介导的内吞作用的膜蛋白进行分类。AP-2似乎在突触前表面突触囊泡膜的循环中起到作用。AP-2识别跨膜载货分子胞质尾部内的Y-X-X-[FilmV](Y-X-X-Phi)和[Ed]-X-X-X-L-[Li]内吞信号基序。AP-2也可能通过ARF6调节的非网格蛋白途径在维持正常的细胞后转运中发挥作用。AP-2α亚单位结合含脂类的多聚磷酸正位,将AP-2定位在膜上。AP-2α亚单位通过其C端附属物域作为内吞辅助蛋白的支架平台发挥作用。AP-2α和AP-2西格玛亚单位被认为有助于识别[ed]-x-x-x-l-[li]基序。
Subunit:
衔接蛋白复合物2(AP-2)是由两个大的衔接蛋白(α型亚单位ap2a1或ap2a2和β型亚单位ap2b1)、一个中等的衔接蛋白(μ型亚单位ap2m1)和一个小的衔接蛋白(sigma型亚单位ap2s1)组成的异源四聚体。绑定epn1、eps15、amph、snap91和bin1。与HIP1交互。与dgkd亚型2相互作用。与DENND1A、DENND1B和DENND1C交互。与FCHO1和DAB2交互。
亚细胞位置:
细胞膜。膜,被膜坑;外膜蛋白;细胞质侧。注=AP-2似乎被排除在CCV的内化之外,并在新生CCV内化前几秒从内吞作用位点脱离。
相似性:
属于衔接复合体大亚单位家族。
重要注意事项:
adaptin α参与披网格蛋白小泡组装的一种蛋白质, 在披网格蛋白小泡组装中与受体的细胞质结构域相互作用, 起衔接作用.
本产品仅用于研究用途,不用于人类、治疗或诊断应用。
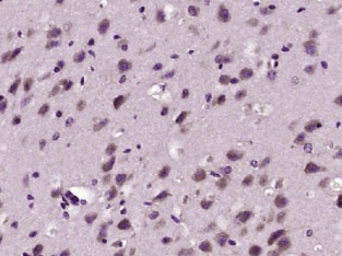
多聚甲醛固定,石蜡包埋(小鼠脑组织);用柠檬酸钠缓冲液(pH6.0)煮沸15min后获得抗原;用3%过氧化氢阻断内源性过氧化物酶20分钟;阻断缓冲液(正常山羊血清)在37℃下30min;用(α-Advin)多克隆抗体进行抗体孵育。1:400在4°C下过夜,然后根据SP试剂盒(兔子)说明和DAB染色进行操作。
公司优势:
1)质量:我司提供的的试剂为世界。
2)价格:价格实惠,量大从优。
4)服务:提供完整的售前、售后和售中服务。售后到底。
如需订购衔接蛋白α-Adaptin抗体,请联系我们。
Anti-PAX1(Paired box gene 1) 配对盒基因1抗体 |
Anti-PAX2(PAX2 Paired box gene 2) 配对盒基因2抗体 |
Anti-PAX3(Paired box gene 3) 配对盒基因3抗体 |
Anti-PAX8(Paired box gene 8) 配对盒基因8抗体 |
Anti-PAX9(Paired box gene 9) 配对盒基因9抗体 |
Anti-P-cadherin(placental) P-钙粘附分子抗体 |
Anti-PCNA (Proliferation Cell Nuclear Antigen) 增殖细胞核抗原抗体 |