您的位置: 网站首页 >> 产品中心 >> >> 抗体 > 乳腺癌易感基因环状结构域蛋白抗体
产品名称:

乳腺癌易感基因环状结构域蛋白抗体

产品型号: 产品时间: 2023-03-08
BRCA1乳腺癌易感基因环状结构域蛋白抗体(bard1)与BRCA1的N端区相互作用。除了在体内和体外结合BRCA1的能力外,bard1与BRCA1保守的2个区域具有同源性:N端环基序和C端BRCT域。环基序是一个富含半胱氨酸的序列,存在于多种调节细胞生长的蛋白质中,包括肿瘤抑制基因和显性原癌基因的产物。bard1蛋白也包含3个串联锚蛋白重复序列。

产品概述

英文名称:Anti-BARD1​

中文名称:乳腺癌易感基因环状结构域蛋白抗体

抗体来源:兔子

克隆类型:多克隆

交叉反应:人、小鼠、大鼠、鸡、狗、猪、牛、马​​​

产品应用:WB=1:500-2000 ELISA=1:500-1000 IHC-P=1:100-500 IHC-F=1:100-500 Flow-Cyt=1ug/Test IF=1:100-500(石蜡切片需做抗原修复)

分  子 量:85kDa

​细胞定位:细胞核

状态:冻干或液体

浓度:1mg/ml

来源于:KLH conjugated synthetic peptide derived from human BARD1:101-200/777

亚型:IgG

纯化方法:affinity purified by Protein A

储存液:0.01M TBS(pH7.4) with 1% BSA, 0.03% Proclin300 and 50% Glycerol.

别    名:BARD-1; Bard1; Bard 1; BARD1_HUMAN; BRCA1 associated RING domain 1; BRCA1 associated RING domain gene 1; BRCA1 associated RING domain protein 1; BRCA1-associated RING domain protein 1.

保存条件:在-20°C下保存一年。避免反复冻融。冻干抗体在室温下至少稳定一个月,并在-20°C下保持一年以上。当在无菌pH7.4 0.01M PBS或抗体稀释剂中重组时,抗体在2-4°C下至少稳定两周。

 

​产品介绍:

BRCA1相关环域基因1(bard1)与BRCA1的N端区相互作用。除了在体内和体外结合BRCA1的能力外,bard1与BRCA1保守的2个区域具有同源性:N端环基序和C端BRCT域。环基序是一个富含半胱氨酸的序列,存在于多种调节细胞生长的蛋白质中,包括肿瘤抑制基因和显性原癌基因的产物。bard1蛋白也包含3个串联锚蛋白重复序列。bard1/brca1相互作用被brca1中的致瘤氨基酸取代破坏,这意味着在这些蛋白质之间形成稳定的复合物可能是brca1肿瘤抑制的一个重要方面。bard1可能是乳腺癌或卵巢癌致癌突变的靶点。bard1也在介导凋亡应激和p53依赖中发挥作用。

 

子单元:

同二聚体和异二聚体。异二聚体

 

亚细胞位置:

原子核。

 

相似性:

包含4个ank重复。

包含2个BRCT域。

包含1个环形锌指。

 

重要提示:

本产品仅用于研究用途,不用于人类、治疗或诊断应用

​​

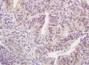
组织/细胞:人乳腺癌;4%多聚甲醛固定石蜡包埋;

抗原提取:柠檬酸缓冲液(0.01M,pH 6),15min煮沸,用3%过氧化氢阻断内源性过氧化物酶30min;37℃下阻断缓冲液(正常山羊血清)20 min;

孵育:抗bard1多克隆抗体,未结合1:200,4°C下过夜,然后与二级抗体结合,DAB染色。

公司优势:
1)质量:我司提供的的试剂为世界。
2)价格:价格实惠,量大从优。
4)服务:提供完整的售前、售后和售中服务。售后到底。

如需订购乳腺癌易感基因环状结构域蛋白抗体,请联系我们。

Anti-NTN(Neurturin )  神经生长因子抗体
Anti-Nurr1  核受体相关因子-1抗体
Anti-OAS1(2',5'-oligoadenylate synthetase 1)  寡腺苷酸合成酶-1
Anti-OAT-1 (Organic anion transporter 1)human  阴离子转运蛋白-1(抗人;YT-0607R 抗大、小鼠)
Anti-OAT-1 (Organic anion transporter 1)mouse、rat  阴离子转运蛋白-1(抗大、小鼠:YT-0606R 抗人)

留言框

  • 产品:

  • 您的单位:

  • 您的姓名:

  • 联系电话:

  • 常用邮箱:

  • 省份:

  • 详细地址:

  • 补充说明:

  • 验证码:

    请输入计算结果(填写阿拉伯数字),如:三加四=7
分享到:
版权所有©2019 上海晅科生物科技有限公司 备案号:京ICP证000000号
  • 扫一扫,关注我们